Kingsburg Veterinary Clinic
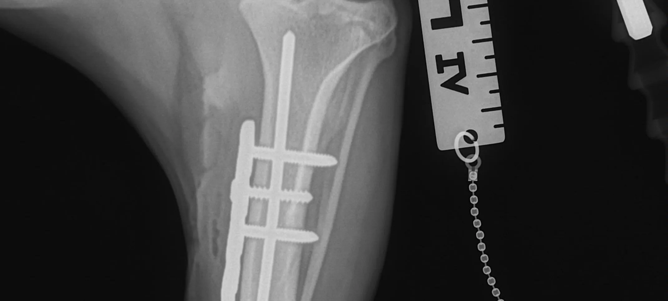
Bone Plating
Bone plating is one of the strongest and most effective methods of fixing a fracture. Fractures are common in pets and are caused by a variety of reasons.

Older animals can get ‘pathological’ fractures, which happen from osteoporosis. This causes the bone to weaken. Young animals can break bones impacts such as jumping from too high or being hit by a car. Bone plates are perfect for animals that are extremely active as they allow use of the leg almost immediately after the surgery.
More Benefits of Bone Plating:
Bone plates are strong and relatively lightweight. They counteract bending, compression, twisting and pulling forces. The plate is a custom-molded piece of steel that is screwed along the long axis of the bone, with pins that secure the plate to the bone.
